صفحه اصلی
برنامه نویسی
طراحی وب
علوم انسانی
علوم پایه
علوم پزشکی
عمومی و آزاد
فنی و مهندسی
کارآفرینی
کتاب و جزوه
گرافیک
نرم افزارهای آماده
صفحه اصلی
طراحی وب
علوم انسانی
علوم پایه
علوم پزشکی
عمومی و آزاد
فنی و مهندسی
کارآفرینی
کتاب و جزوه
گرافیک
نرم افزارهای آماده
فروشگاه بزرگ یک اسکریپت
آخرین فایل های منتشر شده
پروژه فرهنگسرای کتاب شامل شیت لایه باز+ فایل کد نقشه ها + فایل تری دی مکس مدل بنا + رندرهای پروژه
Asymptotics of Operator and Pseudo-Differential Equations (Monographs in Contemporary Mathematics)
تحقیق و پاورپوینت امنیت مشارکتی در شبکههای توزیع شده
Fetal liver transplantation
پاورپوینت اقلیم و معماری
تحقیق نقش توان راكتيو در شبكه هاي انتقال و فوق توزيع
Island Ecology
آشنایی با تکنیک های OFDM و COFDM
What’s New in Electrocardiography
پروژه مهدکودک شامل شیتهای پروژه بصورت لایه باز (2 عدد) + فایل کد نقشه ها + فایل تری دی مکس + رندرهای پروژه + اتودهای اولیه
Taxonomy and Genetics of Oenothera: Forty years study in the cytology and evolution of the Onagraceae
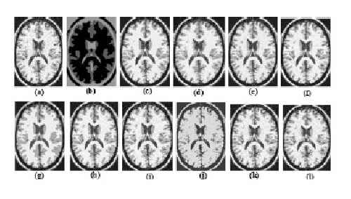
ترجمه مقاله تحلیل کارایی روش دسته بندی فازی C-Means برای قطعه بندی عکسهای MRI
«
624
625
626
627
628
629
630
631
632
»